Stomatologie Mudr. Dušková

Co se stane, když umře zub? Všechno, co potřebujete vědět o zubních fazetách

Co se stane, když umře zub? Všechno, co potřebujete vědět o zubních fazetách

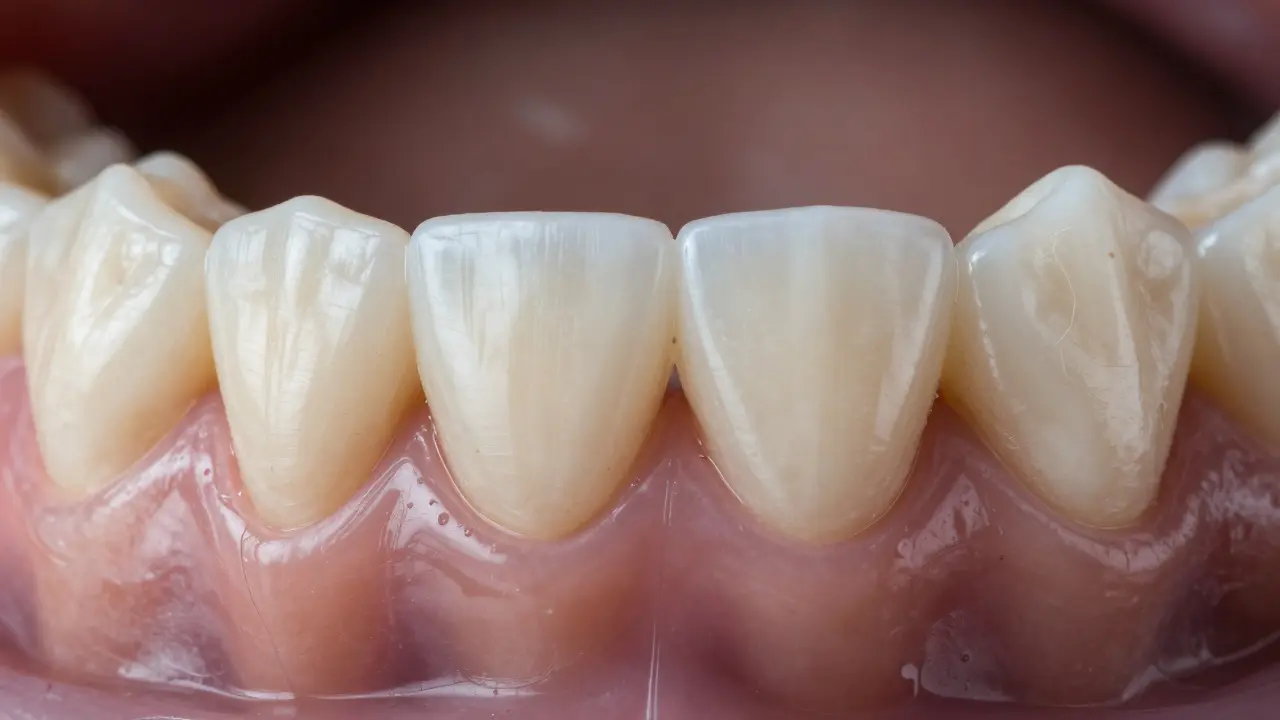
Zubní fazeta je tenká vrstva keramiky nebo kompozitu, která se přilepuje k přednímu povrchu zubu. Její hlavní úloha není léčit, ale zlepšovat vzhled - opravovat barvu, tvar, velikost nebo mírné zkreslení. Ale co se stane, když umře zub pod fazetou? Mnoho lidí si myslí, že fazeta je jako „zástěra“ - že zub pod ní zůstane zdravý navždy. To je nebezpečná představa.

Co znamená, že zub „umřel“?

Zub „umře“, když jeho pulpa - tedy vnitřní část s nervy a cévami - zemře. To se obvykle stane kvůli hlubokému kazu, zlomenině, opakovanému zásahu nebo silnému nárazu. Když pulpa zemře, zub přestává být živý. Neznamená to, že se zub zhroutí nebo se zbarví okamžitě. Může vypadat naprosto normálně i několik let. Ale je to jako auta bez motoru - může ještě jezdit, ale už se nesmí řídit.

Zub bez živé pulpy ztrácí přirozenou hydrataci. Stává se křehčím, barva se mění na šedivou nebo hnědou, a zvýší se riziko mikrotrhlin. Když je na takovém zubu fazeta, vypadá všechno v pořádku - dokud se neobjeví něco horšího.

Proč fazeta nezabrání „umření“ zubu?

Fazeta je estetická náhrada, ne ochranný štít. Nepřekrývá celý zub, jen jeho přední část. Nezakrývá strany, špičku nebo základ. Pokud je zub již poškozený nebo má skrytý kazu pod fazetou, bakterie se mohou volně šířit. Nevidíte to, protože fazeta je průhledná a pevná - ale pod ní se může rozvíjet infekce, které způsobí ztrátu kosti kolem kořene.

Ve městech jako Brno se v posledních letech častěji objevují případy, kdy pacienti přijdou s fazetou, která vypadá skvěle, ale pod ní je zub zcela zničený. V některých případech se objevila i kysta na špičce kořene - a to až po roce nebo dvou od instalace fazety. Důvod? Nebyl zub před instalací pečlivě vyšetřený.

Co se děje, když zub pod fazetou umře?

Když zub pod fazetou zemře, může dojít k několika věcem:

  • Barva se změní: Zub se zbarví do šedi, hněda nebo žluta. Fazeta se nezmění - ale pod ní se zub tmaví. To vytváří neestetický kontrast.
  • Vzniká infekce: Bakterie se mohou usadit v kořenovém kanálu. To může vést k bolesti, oteklosti nebo hnisavému vředu na dásni.
  • Kořen se rozpadá: Bez živého krevního oběhu se kost kolem kořene začne resorbovat. Zub se uvolňuje a může spadnout.
  • Fazeta se odlepí: Když se zub pod ní zhroutí, fazeta ztratí podklad. Může se odlomit, prasknout nebo se jednoduše uvolnit.

Nejhorší scénář? Přijde pacient s fazetou, která vypadá jako nová, ale pod ní je zub zcela zničený. A teď musíte vybrat mezi: odstraněním fazety a endodontickou léčbou (léčbou kořenového kanálu), nebo úplným vytažením zubu a následnou náhradou implantací nebo mostem. To je nákladnější, časově náročnější a bolestivější než původní plán.

Zubní lékař prohlíží rentgenový snímek s ukrytou infekcí pod fazetou.

Jak předcházet „umření“ zubu pod fazetou?

Před instalací fazety musí být zub pečlivě vyšetřený. Není to jen „podívej se, jak vypadá“. Musíte mít:

  1. Rentgen: Alespoň jedno digitální zobrazování (panoráma nebo periapikální snímek). Hledá se kazu, staré plomby, změny v kosti kolem kořene.
  2. Test života zubu: Teplotní test, elektrický test pulpy. Pokud zub neodpovídá, není vhodný pro fazetu.
  3. Endodontická kontrola: Pokud máte podezření na zápal, nebo máte zub, který už byl léčen, musí být provedena kontrola zdraví kořenového kanálu.
  4. Udržování hygieny: Fazeta nezabraňuje kazu. Pokud se nečistí správně, kazu se může objevit na okrajích fazety - a pak se šíří pod ní.

Nejčastější chyba? Lidé si myslí, že když mají fazetu, už nemusí chodit k zubnímu lékaři. To je nesmysl. Naopak - musíte chodit častěji. Každých 6 měsíců. Alespoň pro kontrolu rentgenem.

Jak dlouho trvá fazeta, když je na živém zubu?

Když je fazeta umístěna na zubu, který je zdravý a živý, může vydržet 10 až 15 let. V některých případech i déle - pokud se nežere, neškrábe, nekouří a nejede se na tvrdé věci. Většina lidí v Česku si fazetu nechává 8-12 let. Poté se barva mění, okraj se může otevřít, nebo se začne zub opotřebovávat.

Ale pokud je zub pod fazetou již poškozený, může se vše zhroutit během 1-3 let. To je riziko, které většina lidí neví. A proto se objevují případy, kdy se fazeta odlepí, zub se rozpadne, a pacient přijde s náklady, které byly původně o 2-3 tisíce korun vyšší než plánované.

Keramická fazeta nad zničeným kořenem zubu s příznaky infekce a ztráty kosti.

Co dělat, když už zub pod fazetou umřel?

Nejprve neztrácejte nervy. Je to řešitelné. První krok je:

  1. Neodstraňujte fazetu sama: To může poškodit zub nebo způsobit další zlomeninu.
  2. Navštivte zubního lékaře: Požádejte o rentgen a vyšetření. Lékař zjistí, zda je zub poškozený, zda je infekce, a zda lze zachránit kořen.
  3. Endodontická léčba: Pokud je kořen zdravý a nezničený, může být provedena léčba kořenového kanálu. Po ní se fazeta buď přepracuje, nebo se nahradí novou.
  4. Odstranění a náhrada: Pokud je zub zcela zničený, bude nutné ho vytažit. Pak můžete zvolit implantaci, most nebo částečnou náhradu.

Naše zkušenosti z kliniky v Brně ukazují: pokud je zub pod fazetou umřelý, ale nezničený, lze ho zachránit v 70 % případů. Ale jen pokud je to zjištěno včas.

Kdo by měl zubní fazetu vůbec nechat?

Fazeta není pro každého. Je to nejlepší volba pro:

  • Lidi s lehkým zbarvením zubů, které neodpovídají bleachingu.
  • Lidi s drobnými štěrbinami nebo nepravidelnými tvary zubů.
  • Lidi, kteří mají zdravé zuby s dobrým zdravím dásní a kosti.

Není to vhodné pro:

  • Lidi s hlubokým kazu, který nebyl léčen.
  • Lidi s příliš silným stiskem zubů (bruxismus) - fazeta se může zlomit.
  • Lidi, kteří nechodí k zubnímu lékaři.
  • Lidi, kteří chtějí „rychlé řešení“ bez předchozího vyšetření.

Fazeta není zázračná náhrada. Je to elegantní, ale náročná náhrada. A pokud se pod ní skrývá zub, který už je na smrti - všechno se může obrátit proti vám.